Malignant bone tumors, also known as primary bone cancers, are aggressive cancers that originate in bone tissue itself. The most common types include osteosarcoma (typically in teenagers around the knee), Ewing sarcoma (often in children and young adults affecting pelvis or long bones), and chondrosarcoma (more common in adults, arising from cartilage).
These tumors grow rapidly, causing persistent pain, swelling, visible lumps, night pain, or pathological fractures. Unlike benign lesions, they can metastasize, most often to the lungs, making early detection critical for better outcomes.
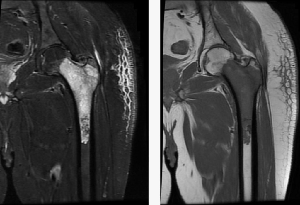
Dr. Pradeep Kumar, with advanced fellowship training in Musculoskeletal Oncology from Tata Memorial Centre, specializes in precise diagnosis using multimodal imaging (X-ray, MRI, PET-CT) and biopsy to confirm malignancy and subtype.

Thanks to these advances, survival rates have improved dramatically, with many patients achieving long-term remission and excellent functional results. Amputations are now rare.
If you or a loved one experiences unexplained bone pain or swelling, seek immediate specialist evaluation. Early intervention by an experienced orthopaedic oncosurgeon offers the best chance for cure and preserved quality of life.

Thanks to these advances, survival rates have improved dramatically, with many patients achieving long-term remission and excellent functional results. Amputations are now rare.
If you or a loved one experiences unexplained bone pain or swelling, seek immediate specialist evaluation. Early intervention by an experienced orthopaedic oncosurgeon offers the best chance for cure and preserved quality of life.